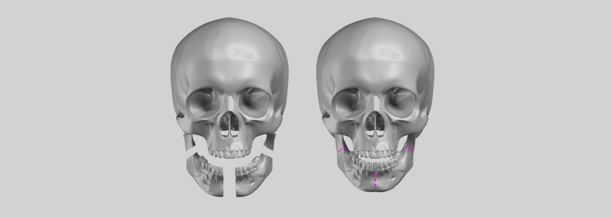
شکستگی های فک و صورت

اهمیت رشته آسیب شناسی دهان و فک و صورت در ارائه تشخیص دقیق و کنترل بیماری های دهان و فک و صورت میباشد. علم آسیب شناسی به بررسی علل ایجاد این بیماری ها، اثرات و ارتباط آنها با بیماری های سیستمیک پرداخته و یک میدان مطالعات ارتباطی بین علوم پایه و طب بالینی است. متخصصین آسیب شناسی دهان و فک و صورت با بررسی ویژگی های ماکروسکوپی نمونه های بافتی و همچنین بررسی دقیق میکروسکوپی نمونه بیوپسی بافت های بیمار و بر اساس علائم بالینی و رادیو گرافی و سایر تکنیک های تشخیصی در موارد مورد نیاز، تفسیر بیماری و تشخیص نهایی را به سایر متخصصین که بیمار توسط آنها ارجاع شده ارائه می دهند.از آنجا که در بسیاری موارد متخصصین دیگر رشته ها از جمله جراحان الگوی درمانی را بر اساس تشخیص آسیب شناسی طرح ریزی کرده و چگونگی پاسخ به درمان رانیز بر این اساس ارزیابی می نمایند، از اینرو متخصصین این رشته با تشخیص دقیق ضایعات نقش حیاتی در تیم پزشکی جهت ارائه مراقبت از بیماران ایفا کرده و منجر به ارتقا سلامتی افراد جامعه می گردند .