English
تماس
آسیبهای فک و صورت
پاتولوژی
کیست
تومور
جراحی زیبایی
بینی
فک
صورت
جراحی داخل دهانی
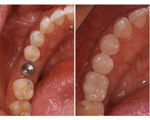
ایمپلنت
دندان نهفته
پیوند استخوان
خانه
ایمپلنت
در دست تهیه
در دست تهیه